文章可能有點長,不好意思 小弟 32 歲男,其實不太確定能不能發在這,我的症狀有點奇怪跟多變 因為受傷 or 生病的關係(還不確定) 已經兩個月沒進健身房了... 先前都是每周練兩天排胸、背的訓練 大概練了兩、三年,就單純練身體健康,趁每天中午公司吃飯午休,去練個一小時 從四月開始積極看診 目前已經看了復健科->骨科->神經外科->神經內科 多位醫師 會看神經內科主要是神經外科判斷我不是坐骨神經痛(不是腰椎問題),叫我看神經內科 現在主要在台北榮總每個月回診看神經內科 前幾天有問醫師我能不能試看看物理治療 醫師說可以試看看 --- 先說一下症狀歷程 - 1月份發現左邊大腿前側(股神經位置) 不時會刺痛 https://i.imgur.com/S1uFCSo.png
- 3/30 走路時左邊外側腳踝像是被電到,電到後小腿外側、腳掌開始麻、刺(應該是神經 受損),走路時腳底會刺痛,因此開始跛行,休息三周後已經恢復不少,可以慢慢開始 恢復行走,不過有感受到腳掌持續麻 https://i.imgur.com/rsMdZBi.png
- 4/20 我的病期有點惡化: 1 右邊腿部同樣位置(大腿股四頭肌前側、腳底)開始出現刺痛感覺,雙手手指末梢覺得也 開始有刺痛感(放電的感覺...),不過當我"抬頭挺胸"、脖子"盡量不要彎曲"時似乎可以 減少此疼痛,三天後此症狀好像消失了,也可能是因為當下焦慮、自律神經失調等心理因 素造成 2 開始無法正常入睡,當頭往後仰、往左、往右時,牙齒會不自覺咬合、嘴唇顫抖,類似 癲癇感覺,過三天後已沒有這個症狀,可能是因為當下焦慮、自律神經失調等心理因素造 成,吃鎮定劑 Xanax 0.5mg 似乎也可以緩和此症狀 3 生殖器開始出現麻刺感覺,過三天後已沒有這個症狀,也可能是因為當下焦慮、自律神 經失調等心理因素造成 - 4/24 走在大太陽底下,當天氣溫應該有 28-30 度,左邊外側腳踝像被電到的感覺又突 然出現,左腳踝被電到後,隨後幾天左小腿外側、整個左腳掌開始發麻...,好像每次出 現這種被電到的感覺後,整隻小腿、腳掌就會開始麻,然後腳掌會覺覺得緊緊的,猜測可 能是神經受損有關...,症狀約在 1 週後有比較緩解 - 5/1 我確診了 Covid 觀察到耳溫達到 38-39 度時,左邊外側腳踝像被電到的感覺就會 出現,即時我躺著、坐著左邊外側腳踝在體溫高的時候會有神經抽痛的狀況,吃退燒藥後 降溫到 37-37.5 度時,才沒有繼續神經抽痛,這是第三次感受到邊外側腳踝像被電到的 感覺,不太確定我的症狀是否與體溫有關 - 5/1-5/7 這幾天都是確診 Covid,體溫正常時,症狀主要是兩隻腿的腳掌持續性發麻, 以及左大腿前側(股四頭肌上方位置) 不時會有刺痛的感覺 目前症狀: - 左大腿前面(股四頭肌位置),不時有刺痛感(今年一月就開始有,最近比較頻繁出現 ),找不到如何觸發...好像有時候脖子彎曲一下,大腿就突然刺痛了起來 - 雙腳腳掌一直在發麻,感覺有微弱電流,躺著的時候比較明顯,左腳的電流感比較大 - 雙腿腳趾頭末端,有時候會有"放電"的感覺,類似被針扎到,又有點像被電到的感覺 - 雙手手指末梢,有時候會有觸電感,像是被針刺,如中指末端被針刺的痛覺 - 四肢肌肉好像比之前更容易抽動,通常會跳個 3-5 秒,醫生要我拍下來 努力收集影片中 - 左小腿抽動 https://www.youtube.com/watch?v=CyrlS04avA0
- 左腳掌抽動 https://www.youtube.com/watch?v=63sSM_6qV08
--- 目前做了檢查 - 頸椎 MRI 似乎不太正常 - Slight kyphosis of cervical spine (頸椎排列後凸) https://i.imgur.com/BUnDwSd.png
https://i.imgur.com/tC0JNs6.png
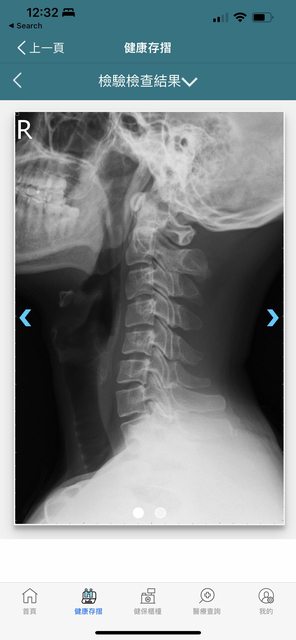
- 頸椎 X 光 似乎不太正常 https://i.imgur.com/cVkB5ca.jpg
- 胸椎 MRI 正常 - 腰椎 MRI 正常 - Small perineural cysts at S2 level, probably normal variants https://i.imgur.com/QfLxmub.png
- 腦部 MRI 正常 - 扎針肌電圖(EMG) 左大腿左小腿:結果正常 - 全身誘發電位:結果正常 - F波:結果正常 - 運動神經傳導測定(下肢):結果正常 - 感覺神經傳導速度測定:結果正常 - H 反射檢查:結果正常 - CRP 檢查:結果正常 - 左小腿、左大腿 EMG 檢查:結果正常 - Anti-HTLV I/II 檢查:結果為非反應性 - 免疫球蛋白(IgG、IgM、IgA)檢查:結果正常 - 類風濕因子(RF)檢查:結果正常 - C3、C4 組分檢查:結果正常 --- 想詢問的是 目前檢查結過下來,似乎沒有自身免疫疾病問題(紅斑性狼瘡、多發性硬化症、漸凍症等) 因此逐步排除各種可能性下來 我的神經內科醫師不太確定頸椎排列後凸造成我目前的症狀的主因 醫師說會再跟放射科醫師討論,約下個月回診再進一步討論 (每次回診都覺得好久 QQ,不過這就是全民健保的精神) 我好像有感覺到脖子有點往後、往前、往左、往右時,目前四肢的刺痛感、肌肉跳動 會有點更加明顯,戴上護頸時似乎有感覺到刺痛感會變少,但也不太確定是否為頸椎造成 而過去我總是注重練胸、背部隨便練,以及長期有駝背習慣 由於我的神經內科醫師,沒有反對我找物理治療師看看 因此想詢問看看台北(靠近內湖、信義、南港、汐止對我比較方便,不過雙北都可以) 有沒有物理治療診所,可以根據我的病況、MRI片子、X光來評估我的問題,並給予治療 --- 最後 先前我有發一些文章在 doctor-info 最近一篇為,裏頭有整理看病歷程 https://www.ptt-site.org.tw/Doctor-Info/M.1684504627.A.9C7 若版友們想知道更多資訊的話可以再留言我再補充,或者可以看我在 doctor-info 的文 也不好意思這篇文章滿長的 感謝各位巨巨們,祝大家身體健康 重量訓練時要注意重量別用太重、姿勢要正確很重要、然後不要只訓練特定部位肌群 在病情還不明朗前,目前我還不敢上健身房 希望我能早日回到健身房 -- ※ 發信站: 批踢踢實業坊(www.ptt-site.org.tw), 來自: 1.169.71.104 (臺灣) ※ 文章網址: https://www.ptt-site.org.tw/MuscleBeach/M.1684667909.A.9C8
jacklin2002: 看太少間了,至少台北各大醫院全部跑過一遍再說 05/21 19:21
jacklin2002: 真的都跑遍了還是無解可以往外縣市,推薦桃園804 05/21 19:23
jacklin2002: 沒有這種事,每家醫院各有各自專長,現在所有就醫資 05/21 19:25
jacklin2002: 訊都有中央健保局的健康存摺可以查 05/21 19:25
jacklin2002: 超音波、X光、MRI都在健康存摺內,跨醫院都可以調閱 05/21 19:26
sashare: 一定又是這包養 05/21 19:26
jacklin2002: 還是建議您不要嫌麻煩多跑幾間,總之祝福您,面對未 05/21 19:34
jacklin2002: 知病痛真的很痛苦(不管心理or生理),祝您早日康復 05/21 19:34
juor2: 感覺上跟高位頸椎還有神經張力過高有點關係,可以嘗試看找 05/21 20:31
juor2: 治療師作高位頸椎評估跟鬆動或是顱薦療法調整神經張力看看 05/21 20:31
juor2: 有沒有幫助 05/21 20:31
sijiex: 包養平台不意外 05/21 20:31
juor2: 只不過人蠻多確診後都會莫名其妙爆炸,像我同事就顳顎關節 05/21 20:32
juor2: 腮腺莫名大發炎直接脫位… 05/21 20:32
juor2: 高位頸椎的壓力其實也會影響到自主神經節 05/21 20:32
eugeney: 徐國峰微針刀 05/21 20:43
LiquidCool: 看身心科 05/21 20:47
VLADINA: 覺得包養網EY嗎 05/21 20:47
thexiaomi: 可以試試針灸 這種神經症狀的話 05/21 20:59
jack0727: 不知道為什麼我看到想到YTB 三個字 看你要不要試試看問 05/21 22:08
jack0727: 看看 05/21 22:08
coqsportif: 看起來就完全不是物理治療師能處理的狀況 05/21 22:17
mozume: 上傳是因為那個光碟內資料更多,可以切各角度看,我給你 05/21 22:17
odemagus: 包養網站葉配啦 05/21 22:17
mozume: 的建議是先放鬆心情,你感覺已經有焦慮症傾向,這也會影 05/21 22:17
mozume: 響症狀 05/21 22:17
jowan027: 誠星李思翰老師,物理治療,對神經診斷定位相當厲害 05/21 22:18
coqsportif: cervical spondylotic myelopathy 05/21 22:18
withthewind: 我以前手臂曾經刺痛、麻,是看神經外科 05/21 23:14
yes500: 記者收了包養網多少啦 05/21 23:14
withthewind: 先是看神內,肌電圖反應差,醫生開彌可保,叫我復健 05/21 23:15
withthewind: 後來看神外MRI頸椎間盤突出,保守治療也是復健拉脖子 05/21 23:15
withthewind: 我覺得要先確定到底哪邊出問題,再做物理治療 05/21 23:16
withthewind: 下半身會刺麻,務必要找出原因,一個看不好就換人看 05/21 23:17
juor2: 但他的核磁共振整條都沒有明顯的神經壓迫,除了神經張力之 05/21 23:36
alexantiy: 包養真亂 05/21 23:36
juor2: 外,有時候更可能會是纖維肌痛症或是小神經病變之類的存在 05/21 23:36
juor2: 。 05/21 23:36
juor2: 抽血跟肌電圖都沒有顯示出上面推文在講的神經脊髓病變或是 05/21 23:38
juor2: 需要從脊椎定位的部分就是,總之會是蠻麻煩需要再花時間尋 05/21 23:38
juor2: 找治療手段的問題 05/21 23:38
sowrey: 演藝圈一堆包養好嗎 05/21 23:38
darkelf1107: C1-2的問題要不要確認?可以照open mouth加side bend 05/22 00:00
darkelf1107: ing 05/22 00:00
juor2: 剛剛跟治療師朋友討論的結論也是著重在高位頸椎的神經張力 05/22 00:37
AgentSkye56: 哥覺得 先去台大做個全身檢查 05/22 01:24
heavenbeyond: 哥,你一周只二練而且是練健康的,感覺強度並不高啊 05/22 09:20
cw758: 政治圈一堆包養好嗎 05/22 09:20
heavenbeyond: ,那你怎麼肯定病情是因為重訓,就直接要找物理治療 05/22 09:20
heavenbeyond: ? 05/22 09:20
heavenbeyond: 做個全身檢查先確定病因吧,祝早日康復! 05/22 09:20
pdms: 把看物理治療的錢省下來,再自費多做些檢查確定一下吧 05/22 09:29
kenhiro5566: 辛苦了 這種未知病痛最難搞 也最拖垮心理... 05/22 10:22
ludi: 有錢人一堆包養好嗎 05/22 10:22
Manusya: 我跟你狀況有一點點類似,主要症狀是右手掌下緣有麻木感 05/22 10:47
Manusya: ,有時刺刺的,延伸到小拇指及無名指,看神經內科做了神 05/22 10:47
Manusya: 經傳導沒有問題,頸椎有小骨刺但沒壓迫,因此自行推斷是 05/22 10:47
Manusya: 肌肉問題(因為肩頸長期緊繃有舊傷)所以去看物理治療, 05/22 10:47
Manusya: 物治師診斷後認為是肩頸肌肉緊繃到壓迫神經,每週一次徒 05/22 10:47
peernut: 學生妹被包養多嗎 05/22 10:47
Manusya: 手治療,一個月後症狀大幅改善,但仍然持續治療中(就想 05/22 10:47
Manusya: 把舊傷看好)。個人經驗,提供參考。 05/22 10:47
Manusya: 我是去「內湖物理治療所」,是陽明物理治療所的分院。 05/22 10:49
TimeEngine: 椎間盤滑脫? 05/22 19:40
kuroda: 之前有位客戶和你狀況很像,右髖半夜常電到痛醒,四處求 05/23 00:59
xikimi: 亞洲最大包養網上線啦 05/23 00:59
kuroda: 助該治療的都沒少,椎間盤開刀過兩次。後來主要花很多功 05/23 00:59
kuroda: 夫去一層層建構身體能力,把日常使用身體的力學細節建構 05/23 00:59
kuroda: 好,把以前訓練漏掉的東西補上,疼痛就很少發生也可以一 05/23 00:59
kuroda: 覺到天亮。應該算成功,重回職籃賽場,蠻多數據不輸生涯 05/23 00:59
kuroda: 巔峰,今年38歲還被選進中華隊...身體怎麼產生動作頗關鍵 05/23 00:59
Avero: 我哥上包養網被我抓包.. 05/23 00:59
dmezspk: 物理治療的錢省下來吧,話說物理治療已經被本版神化了 05/23 17:18
dmezspk: 05/23 17:18
aaaian: 疼痛科看看是否為纖維肌痛症 05/23 17:27
alice78226: 針灸,找會頭皮針刺激神經系統的 05/23 19:39
Wacha: MRI檢查偽陽性&偽陰性都很高,不是檢查陰性,腰椎就一定沒 05/23 21:28
ejoz: 有人包養過洋鬼子嗎 05/23 21:28
Wacha: 問題 05/23 21:28
utttds: 建議可以去超全能診所找王偉全醫生判斷看看 05/24 08:22
utttds: 有時身體的發炎反應會以非常不可思議的方式呈現 05/24 08:22
c04: 找擁有雙專科的醫師看看,另一個方法是你看過這麼多醫師,一 05/24 19:14
c04: 定有比較熟的了,直接請他推薦看哪位醫師,醫師推薦的醫師通 05/24 19:14
FishRoom: 有錢人為啥都想包養 05/24 19:14
c04: 常會比網友推薦的再強一點 05/24 19:14
c04: 真的再找不出原因就往北榮和台大看看,疑難雜症這兩家是頂尖 05/24 19:17
c04: 了,祝健康 05/24 19:17
c04: 啊 05/24 19:23
c04: 原來你已經看北榮了... 05/24 19:23
KsiR: 有人被洋鬼子包養過嗎 05/24 19:23
asdpoiuy: 推薦試試看誠星 05/24 20:38
ntmu: 看起來除了頸椎排列有問題之外,其它檢查都正常。從頸椎下 05/25 06:03
ntmu: 手處理是可行的方向。祝您早日康復,這是個蠻困難的case 05/25 06:03
Takanohana: 祝早日康復 05/25 08:45
pakery: 祝早日康復 台北的話不確定的疑難雜症可找王偉全 但不便宜 05/26 22:02
peoples: 到底要多有錢才會想包養 05/26 22:02
pakery: 另李思翰治療師也很熱心 05/26 22:02
SlackinGWei: 祝早日康復 我以前胸廓出口也有神經的問題 折騰一年 05/30 11:12
SlackinGWei: 多之後才處理到不會影響到生活 總之不要放棄希望~ 05/30 11:13
SlackinGWei: 有需要的話尋求心理諮商也是不錯的選擇 05/30 11:13
swqq: 看X光就知道你日常姿勢一定很差,和健身一點關係都沒有…除 05/31 18:39
wilmer: 閨蜜上包養網還推薦我... 05/31 18:39
swqq: 非你一直練頸前肌… 05/31 18:39